emmi®-pet Ultraschall-Zahnbürste
Gesundheit beginnt im Mund
Zahnsteinentfernung und Zahnreinigung ohne Narkose!
Eine Entfernung des Zahnsteines in Verbindung mit einer Narkose, führt oft zu einer Belastung des Tieres und auch des Besitzers.
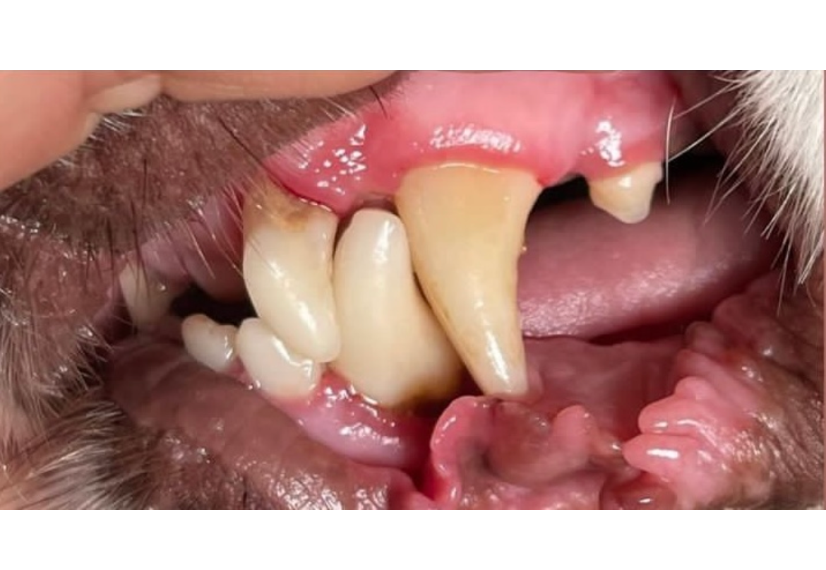
Wie erkenne Ich Zahnstein?
Es gibt zwei sehr wichtige Signale, die auf Zahnstein hinweisen. Zum einen handelt es sich um dunkle, meist graue raue Flecken am Zahnschmelz und zum anderen um einen sehr unangenehmen Geruch aus dem Maul des Hundes.
Zahnstein kann sehr großen Schaden anrichten
Zahnstein kann den Zahnschmelz und das Zahnfleisch so stark in Mitleidenschaft ziehen, dass sich sogar das Fressverhalten ändern kann oder völlig eingestellt wird. Weniger fressen und eine Neigung des Kopfes kann ein erster Hinweis auf Zahnschmerzen liefern.
emmi-pet-Ultraschallzahnbürste
Die emmi-pet Ultraschallzahnbürste ist eine gute und vor allem auch wirksame Alternative.
In Verbindung mit der Ultraschallzahncreme reinigt sie schonend und abrieblos die Zähne Ihres Lieblings.
Der Ultraschall bildet mit der Ultraschallzahncreme über 3,5 Millionen Mikrobläschen pro mm3, welche bis in die kleinsten Zwischenräume gelangen und dort platzen. Auf diese Weise werden große Kräfte freigesetzt, die den Zahnstein und die Beläge entfernen, ohne dass Ihr Hund davon etwas spürt.
Sie kann auch bei entzündetem Zahnfleisch angewendet werden, da sie schmerzlos und sanft reinigt, ohne zu bürsten. Der Ultraschall dringt tief ins Zahnfleisch und in die Zahnfleischtasche ein und reinigt diese gründlich.
Außerdem wird die Durchblutung des Zahnfleisches angeregt.


